大部分先天性心臟病孩子的家長一定對”重大傷病卡”不陌生。當然,有些孩子隨著治療或病程改善,會在期限到了後就不再符合重大傷病的身分。然而,板主很常被問到:那得過川崎病是不是就符合重大傷病?而且永久有效?答案當然不是!!!健保對川崎病符合重大傷病的規定與期限是: 陳俊安 發表在 痞客邦 留言(0) 人氣(11,123)

膜邊型VSD(perimembranous ventricular septal defect)是最常見的一種先天性心臟病(沒有之一!)。筆者整理爸爸媽媽們常問的問題,用醫學研究結果與臨床經驗幫大家解惑。
Q: 膜邊型VSD會不會自行變小、癒合關閉?有沒有幾歲之前是黃金期?陳俊安 發表在 痞客邦 留言(0) 人氣(5,376)

台大兒童心臟團隊從2015年底開始進行這項新治療後,截至目前(2020/8)已成功完成30多例。整理一下常被問到的問題,讓更多的病患與家長能更了解這項治療的進展。(延伸閱讀:阿美的故事)
陳俊安 發表在 痞客邦 留言(0) 人氣(2,206)

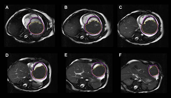
兒童時期擴張性心肌病變算是最難纏的心臟疾病之一。診斷心臟擴大並不難,難的是如何抽絲剝繭找出背後的病因。給予藥物治療並不難,難的是有沒有機會對症下藥。安排心臟移植的評估並不難,難的是能否找到可以不要換心的選項。
這裡整理了台大兒童心臟團隊過去10多年曾參與發表的論文,都是關於兒童時期擴張性心肌病變的研究。每篇論文,背後都代表著團隊為了改變這群孩子的命運所曾做過的努力。從論文的作者群中可以清楚看出,照顧這群兒童時期擴張性心肌病變需要跨團隊的整合與努力,特別是基因醫學的專家,以及心臟外科團隊,更扮演著關鍵的角色。
陳俊安 發表在 痞客邦 留言(0) 人氣(565)

永遠記得這句話,這是很多年前一個告我的家屬在起訴狀上面寫的。
是的,我錯了!雖然重來一次,我還是會建議他做心導管治療。雖然他這種心臟病,99%的醫師會建議他做心導管治療。
陳俊安 發表在 痞客邦 留言(0) 人氣(895)

今天早上心血管中心的討論會,我被叫去列席(7:30真的好早啊....),因為討論的個案是我的一個老病人(其實也才8歲,只是我從她出生的那一刻起就認識她了,所以感覺像是認識了一輩子)。
先從最近發生的事說起....。
陳俊安 發表在 痞客邦 留言(0) 人氣(1,324)

如果你的寶貝愛車是非常特殊的牌子、有著非常獨特的軟硬體設計,今天突然在路邊拋錨了....。好巧不巧,google到不遠處有一家規模很大的修車廠,google上的評價也很不錯,所以馬上請拖吊車司機大哥開去請師傅評估看看。
師傅研究了一下 說道:"這問題看起來很複雜.....這種特殊設坦白說我不熟 也沒修過.....不過反正都是車子嘛 四個輪子一個引擎,我覺得我應該可以拆開來研究一下。我們可以用其他牌子類似的零件和過去修其他牌車子的工法修修看,應該也是可以修到能再上路開的程度吧?!"
陳俊安 發表在 痞客邦 留言(0) 人氣(142)

肺動脈瓣閉鎖 無心室中隔缺損 (Pulmonary atresia with intact ventricular septum, PA-IVS)是一種嚴重的發紺性心臟病,不治療,幾乎不可能長期存活。過去,在新生兒時期接受開心手術是唯一的治療方式。王主科教授在20多年前開始發展以心導管技術打通閉鎖肺動脈瓣這項可以取代開刀的治療。經過多年的經驗累積與治療策略調整,如今以心導管貫穿肺動脈瓣膜儼然成為大多數條件適合的病童的治療首選,而台大兒童心臟團隊更是全世界這項心導管治療個案數與治療成績最頂尖的團隊之一。
陳俊安 發表在 痞客邦 留言(0) 人氣(2,149)

一個月前,我們幫助了一位遠渡重洋來台就醫的孩子(1歲4個月, 7kg, 患有心室中膈缺損)。經過爸爸媽媽的同意,我把這封信貼在這裡(原信是簡體字,為方便大家閱讀,我轉成繁體字了)。希望能藉此鼓勵更多家有先天性心臟病孩子的家長,也讓更多的台灣人知道,我們自己其實是多麼的幸福。
陳俊安 發表在 痞客邦 留言(0) 人氣(1,367)
陳俊安 發表在 痞客邦 留言(0) 人氣(12,109)