想知道這項治療是怎麼進行的嗎? 簡單來說整個過程包括底下幾個部分:
Stage I: 確定治療的必要性及可行性
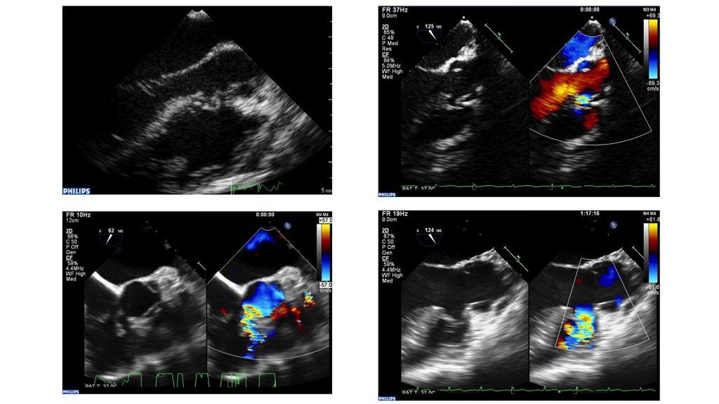
在股動脈與股靜脈插入血管鞘之後,我們會進行第一階段: 檢查。首先,先評估左右心的血流情形,計算出因破洞引起的分流量。分流量越高,表示缺損越大。之後會在左心室內做血管攝影(打顯影劑),可藉此直接看到破洞的位置、大小、與型態。這些資訊對於進行心導管關閉有很大的幫助。此外,我們也會在主動脈進行造影,了解主動脈瓣在治療前的功能與形狀(是否有逆流、脫垂)。當檢查完畢,我們團隊成員判斷該缺損是適合進行心導管關閉時,便會接著進行第二階段,也就是治療。
進行第二階段前,針對大部分的個案,為了讓治療當下有好的影像監控,我們常規會進行經食道超音波的檢查。因為經食道超音波檢查在清醒時做不太舒服(就像做胃鏡一樣),因此團隊中會有麻醉科醫師幫病患進行全身麻醉。進行全身麻醉雖然聽起來有點麻煩,但其實對病人安全與治療成效而言實際上是多了一層保障(以我在波士頓兒童醫院進修時的經驗,他們幾乎對每一個接受侵入性治療的患者都進行全身麻醉,由此可見其重要性)。
(感謝:慈濟醫院許瑞育醫師提供)
Stage II: 進行心導管關閉治療
在X光透是以及經食道超音波檢查的指引下,我們會經過股動脈、主動脈進入左心室,然後試圖用各種方法、選用各種適合的導管(下圖圖示中的紅色管子)將導管"穿過"心室中膈缺損。
穿過缺損之後,導管就來到了對面的房間--右心室。此時,醫師會將導管與導線擺在適當的位置,讓另外一個由股靜脈插入的導管(下圖圖示中的藍色管子)在該位置碰面 (常會在肺動脈以及上下腔靜脈)。我們會在這個來自靜脈的導管中再放入一種特殊的導管,它長得像西部牛仔使用的套索,可以把來自動脈的那根導管/導線套住。一旦被套牢,就可以將來自動脈的導線一路拉到股靜脈,再拉出體外,形成一個動脈-靜脈回路(arterovenous loop, AV loop)。很神奇吧!!! (p.s. 少部分的個案我們不一定需要建立AV loop,有興趣我們再聊吧.....)
有了AV loop,事情就好辦了! 我們可以沿著這個AV loop(下圖中的紅色線)把內部裝有關閉器的載送系統(下圖圖示中的藍綠色管子)從股靜脈經右心房、右心室、穿過心室中膈、來到左心室及主動脈。然後在適當的位置將關閉器(圖示中的橘色物品)推出載送系統,讓它卡住缺損及其周圍的組織。
那怎麼知道關閉器是不是放在理想的位置呢? 這時候除了要在左心室再打一次顯影劑看看缺損與關閉器的位置外,就要靠經食道超音波的幫助,更仔細評估每一個角落、看關閉器是否將缺損堵住、是否影響到主動脈與三間瓣的功能。當然,過程中一直要監看心電圖,注意是否有傳導障礙的發生。如果位置不理想,別擔心,關閉器可以再收回載送系統內,重放一次就好了!
倘若關閉器位置良好,也沒有造成併發症,在團隊的醫師都同意的情況之下,我們就會將關閉器與原本緊鎖著的鋼絲旋開,讓關閉器留在心臟內。這個旋開的動作很簡單,但因為之後就起手無回了,所以我們做侵入性治療的醫師總是懷者既期待又怕受傷害的心情在做這個動作。幸好,目前為止,我們團隊治療過的每一個病患在旋開關閉器的那一個剎那,響起的都是掌聲與歡呼聲!!!
Stage III: 術後觀察與追蹤
治療成功之後,大家都很開心,可是別忘了,有些併發症不是馬上會發生的,還必須密切觀察。有些患者會去加護病房觀察,也有一些會到病房觀察,通常觀察期要2天,所以治療完隔天立刻出院是有風險的。那要觀察甚麼? 包括持續的心電圖監控,生命徵象的評估,尿液的顏色(要小心溶血),傷口的狀況,以及心臟超音波的追蹤等等。
如果一切順利,治療後第二天病人就可以趴趴走了。不過我們建議治療後第一個月不要做太費力的活動,特別是要避免衝撞。此外,要吃半年的阿斯匹靈幫助在關閉器表面形成內皮層(就是讓關閉器外面"長肉"),在那之前,都還是建議要做感染性心內膜炎的預防措施,口腔的問題更是要注意(其實沒有心臟病也是要刷牙啦....)。
還有一件重要的事忘了提,那就是該找誰做??? 我個人建議做這樣的治療一定要有整個團隊的協助,包括 (1) 主刀的心臟科醫師、 (2) 心導管助手、(3) 專責影像監控的心臟科醫師、(4) 麻醉科醫師、(5) 心臟外科醫師、(6) 導管室技術員與護理師、(7) 加護病房醫療團隊。
甚麼? 不是就是因為不想開刀才來做心導管嗎,為什麼團隊裡還要有外科醫師?
複雜的介入性心導管治療就像一場棒球比賽,主刀的小兒心臟科醫師當然就是球隊的王牌先發,他一個人有能力完投九局。可是不是每一場比賽都一定這麼按照劇本走啊! 有時候還是需要守備的幫忙(助手),運氣不好的時候甚至要救援投手出場才能讓比賽完美收場。心臟外科醫師當然是希望備而不用,可是這樣高度侵入性的治療如果沒有技術高超的外科醫師能夠隨時在牛棚熱身,在出現緊急的併發症時上場救援,你會放心把這一生一次的重要治療交給沒有完整醫療團隊的醫生嗎?
好了,以上就是心導管關閉心室中膈的全貌。如果你還在猶豫該不該做,看一下這裡或許對你下決定有一些幫助。如果你已經決定要做,那就祝你找到心目中最好的醫療團隊、順利把破洞關起來 :)
by Dr. 陳俊安

留言功能已依作者設定調整顯示方式